1ª DISTINCIÓN
Título: El árbol de la vida
Autor: Gonzalo Schierano Marotti (becario).
Pertenencia: Facultad de Bioquímica y Ciencias Biológicas – UNL. Instituto de Salud y Ambiente del Litoral (ISAL) UNL-CONICET.
.
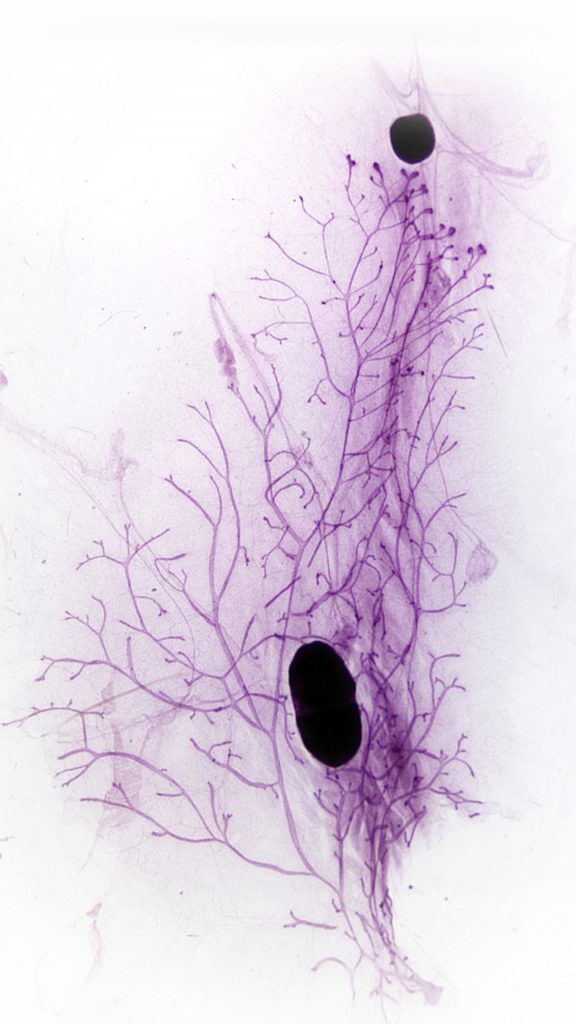
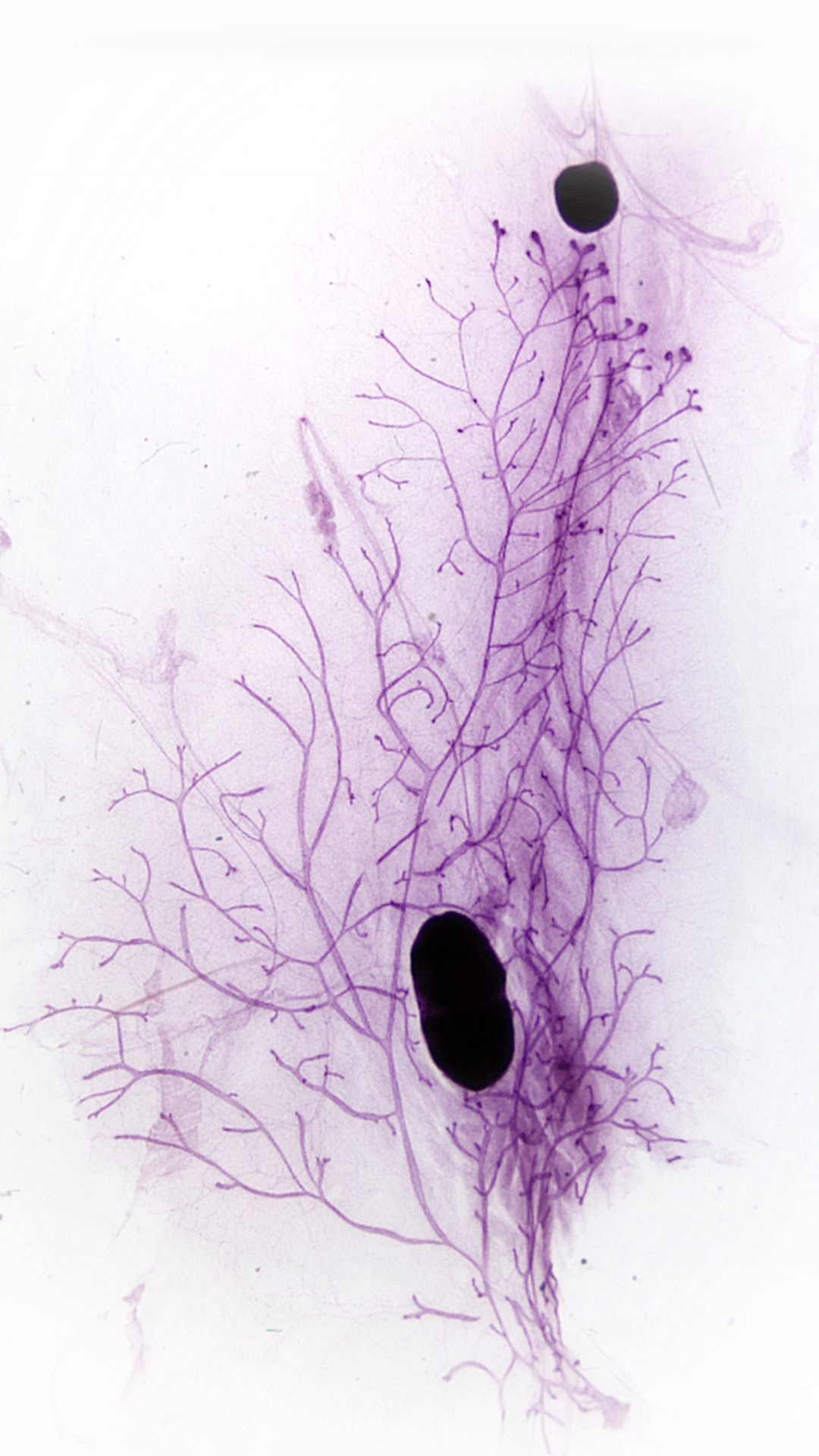
En la pubertad, el estallido hormonal orquesta el desarrollo de la glándula mamaria. En los extremos de los conductos proliferan las células permitiendo su elongación desde la punta.
Los conductos se van bifurcando y brotan ramificaciones laterales en las ramas principales. Así como en la primavera, durante la preñez las ramificaciones aumentan y florecen los alvéolos mamarios como pequeños ramilletes que producirán la leche para alimentar a las crías.
En la imagen se muestra una glándula mamaria de una ratona púber coloreada con carmín-alúmina que tiñe las células de color rosa/violáceo. La glándula crece desde la región del pezón en el extremo inferior, atravesando al nódulo linfático central y queriendo alcanzar al nódulo axilar, ambos se distinguen como estructuras opacas esféricas.
.
